Направления
/7Лечим самое сложное

Спасаем то, что другие хотят удалить
Атмосфера
Уютная и тёплая, как дома
Мы в центре

Бесплатная парковка для пациентов клиники
Лечим причину, а не симптом

Видим связь здоровья полости рта со всем организмом
От 3D моделирования до натуральной улыбки

Создаем эстетику под увеличением
Лечитесь со спокойной душой

Прозрачные гарантии стоимости, программа лояльности для всей семьи
Работаем с юридическими лицами

Принимаем оплату от ИП и ООО. Предоставляем полный пакет документов для бухгалтерии.
Ваши зубы под защитой
Умная гигиена с ИИ + ювелирное лечение под микроскопом
Свои зубные техники

Сжатые сроки протезирования на зубах и имплантатах
Специалистыс клиническим опытом более 7 лет
Смотреть всех специалистовДо после
Пациентка желала кардинально преобразить улыбку, скрыть
щели, сколы и неровности зубов. Протокол лечения включил
терапевтическую подготовку и профессиональную гигиену GBT
для
обеспечения здоровья полости рта, с последующей
установкой керамических виниров. Итогом лечения стала
безупречная, естественная и долговечная улыбка.
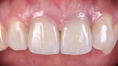
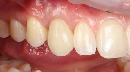
Пациентка обратилась с переломом коронок двух центральных зубов. В других клиниках ей рекомендовали удаление с последующей имплантацией, но её главным желанием было сохранить свои зубы.
Пациентка обратилась с врожденными пятнами на эмали, желая не только устранить дефекты, но и полностью преобразить улыбку – изменить форму и цвет зубов, сохранив при этом максимальную естественность.
Пациентка пришла в нашу клинику после завершения ортодонтического лечения с целью полностью оздоровить зубы и создать красивую, функциональную улыбку.
Пациент 45 лет обратился для устранения множественных дефектов жевательной группы зубов. После профессиональной гигиены GBT выполнена одновременная установка 3 имплантатов с временными коронками и фиксация 7 циркониевых коронок с цифровым контролем прикуса. Результат через 6 месяцев: восстановленная функция, идеальная эстетика и стабильность имплантатов.
Для кардинального решения проблем множественных сколов, трещин и неудовлетворительной эстетики пациенту изготовили 28 керамических коронок с точным воссозданием анатомии и прозрачности эмали. Лечение вернуло не только идеальную улыбку, но и полноценную жевательную функцию, что значительно улучшило качество жизни пациента.
Пациентке 35 лет с отсутствием клыка и смещением зубов выполнено восстановление на имплантате с предварительной ортодонтической подготовкой. После коррекции положения зубов элайнерами установлен имплантат с немедленной нагрузкой формирователем десны.
Пациенту 40 лет с отсутствием передних зубов и множественными стоматологическими проблемами проведена полная реабилитация. После санации полости рта и профессиональной гигиены установлены 4 имплантата в передний отдел с немедленной нагрузкой.
Запишитесь
на консультацию
Если у вас есть вопросы, вы можете заказать звонок для консультации со специалистом. Оставьте заявку, и мы свяжемся с вами в ближайшее время.
Отзывы пациентов
Очень довольна результатом лечения
- Айжан Токтогулова
- 12.01.26
Обратилась в клинику с сильной болью. Всё сделали аккуратно и профессионально, подробно объяснили план лечения. Сейчас ничего не беспокоит, спасибо за внимательное отношение.
Комфортная атмосфера и грамотный подход
- Нурсултан Абдраимов
- 18.01.26
Делал имплантацию. Всё прошло спокойно, без лишней суеты. Врач работал уверенно, после процедуры дали подробные рекомендации. Восстановление прошло быстрее, чем ожидал.
Аккуратно и безболезненно
- Гульназ Сыдыкова
- 22.01.26
Очень переживала перед приёмом, но всё прошло максимально деликатно. Специалист всё объяснял по ходу лечения, поэтому было спокойно. Спасибо за профессионализм и поддержку.
Современное оборудование и чистота
- Бакыт Осмонов
- 25.01.26
В клинике чисто, всё организовано по времени. Проходил протезирование — результатом доволен. Работу сделали качественно, без затягивания сроков.
Удаление прошло быстро
- Азизбек Жунушалиев
- 29.01.26
Нужно было удалить сложный зуб. Всё сделали аккуратно и быстро. После процедуры подробно рассказали, как ухаживать, чтобы заживление прошло без осложнений.
Спасибо за внимательное отношение
- Мээрим Кожобаева
- 02.02.26
Делала профессиональную чистку и консультацию. Всё объяснили доступно, без навязывания лишних процедур. Осталась довольна приёмом.
Исправляю прикус, уже вижу результат
- Темирлан Ташматов
- 06.02.26
Установили брекет-систему. Процесс проходит комфортно, на каждом приёме дают подробные разъяснения. Рад, что выбрал именно эту клинику.
Рекомендую знакомым
- Алина Нурматова
- 10.02.26
Обращаюсь сюда не первый раз. Всегда вежливый персонал, чёткая организация работы и качественное лечение. Планирую продолжить лечение здесь.

Современная
цифровая
стоматология
Это частная стоматологическая клиника (взрослая), объединяющая солидную материальную базу и коллектив высококвалифицированных профессионалов, использующих передовые технологии для комплексного решения стоматологических задач любой сложности.
занимает пациент во всех процессах клиники
команда экспертов, которая решает самые сложные случаи
современного цифрового оборудования экспертного класса
работа по международным протоколам и современным западным технологиям
Обращение основателя
Просто приходите.
Остальное берем на себя!
Наша клиника специализируется на комплексном стоматологическом лечении — от восстановления утраченных зубов до сложных ортопедических и хирургических случаев. Мы также помогаем пациентам исправить ранее выполненные работы и добиваемся функционального и эстетического результата.
В основе нашей работы — командный подход. Каждый клинический случай рассматривается комплексно, чтобы вы получили точную диагностику и понятный пошаговый план лечения уже на первом этапе. При необходимости подключаются специалисты разных направлений для выработки оптимального решения.
Особое внимание мы уделяем вашему комфорту и спокойствию. Нам важно, чтобы каждый визит проходил без стресса и в доверительной атмосфере.
Мы тщательно планируем приём: подбираем удобное время, проводим подробную консультацию, объясняем все этапы лечения и сопровождаем вас на каждом шаге.
Современная стоматология может быть понятной, безопасной и максимально комфортной — и мы ежедневно это доказываем.
Нурсултан
Главный врач, стоматолог-ортопед, основатель клиники
Инновационные решения и профессиональный опыт
Мы применяем современные технологии и комплексный подход для эффективного лечения стоматологических заболеваний любой сложности
Первичный приём начинается с детальной консультации и диагностики. Мы внимательно изучаем состояние полости рта, анализируем жалобы пациента и формируем предварительное понимание клинической картины.
Для точной оценки применяются цифровая рентгенография, компьютерная томография, 3D-сканирование и современные методы функциональной диагностики. Это позволяет выявить даже скрытые проблемы на ранней стадии.
На основании полученных данных разрабатывается индивидуальный план лечения с чёткой последовательностью этапов. Мы подробно объясняем возможные варианты и подбираем оптимальное решение с учётом медицинских показаний и пожеланий пациента.
Такой подход обеспечивает предсказуемый результат, безопасность процедур и долгосрочное сохранение здоровья зубов и дёсен.
Запишитесь
на приём
к врачу
Оставьте заявку на приём, и администратор свяжется с вами в течение 5–10 минут, чтобы уточнить детали и подобрать удобное время















